オールセラミック治療
お口の中を健康にするオールセラミック治療
オールセラミック治療と聞くと、『見た目を綺麗にするための治療』と思い浮かべる方は多いかもしれません。
しかし、歯科治療にセラミック素材を使用するのには、他にも理由があります。
従来から使用されている、いわゆる「銀歯」。これが原因で金属アレルギーやアトピー性皮膚炎を引き起こしているという例が確認されてきているのです。
一方、セラミックは陶器の一種なので、金属アレルギーやアトピー性皮膚炎といった病気を引き起こす心配がありません。
このことから、オールセラミック治療は、『見た目を綺麗にする』というだけでなく、『お口の中を健康にする』ことを目的としても知られています。
オールセラミック治療例
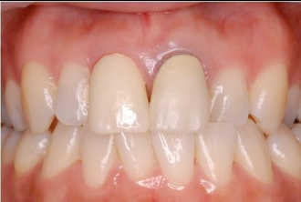
ケース①(新宿区在住 30代 女性)

術 前
前歯の治療例です。
以前入れたクラウンの金属が見えてきています。
そのため、歯茎まで黒ずんでしまっています。

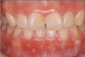
術 後
クラウンをオールセラミックで作製し、装着しなおしました。
歯茎も綺麗になりました。
※自費治療となりますので 費用は2本で216,000円かかります
ケース②(新宿区在住 40代 女性)

術 前
前歯の治療例です。
前歯2本が内側を向いており、見た目を気にされてご来院されました。
内側を向いているため、歯磨きがしづらく、虫歯になりやすい状態です。

術 後
オールセラミックで歯並びを改善しました。
見た目も改善されましたが、歯並びが整ったため、歯磨きもしやすくなりました。
※自費治療となりますので 費用は2本で216,000円かかります