最短1日でできる審美歯科~セレックシステム
セレックシステムとは
セレックとは、オールセラミックスで補綴物(被せ物や詰め物)を作るシステムの一つです。
従来の方法は、歯科技工士がセラミックスの粉を盛り、焼いて作っていました。
そのため、長い製作時間と技工料がかかり、高い治療費を要しました。
しかし、現在当院が導入しているセレックACは、口腔内の形態をコンピューターに取り込み、プログラム上で設計し、その設計通りにミリングマシーン(削り出し機械)がセラミックのブロックを削り、出来上がったものを歯科技工士と歯科医師が仕上げるという新しい技法です。
この装置の導入により、特殊なケース以外は、高い品質を保ちつつ従来よりもお手頃なお値段でオールセラミックスの補綴物を提供することが可能となっています。
従来の方法は、歯科技工士がセラミックスの粉を盛り、焼いて作っていました。
そのため、長い製作時間と技工料がかかり、高い治療費を要しました。
しかし、現在当院が導入しているセレックACは、口腔内の形態をコンピューターに取り込み、プログラム上で設計し、その設計通りにミリングマシーン(削り出し機械)がセラミックのブロックを削り、出来上がったものを歯科技工士と歯科医師が仕上げるという新しい技法です。
この装置の導入により、特殊なケース以外は、高い品質を保ちつつ従来よりもお手頃なお値段でオールセラミックスの補綴物を提供することが可能となっています。
また、最短1日でできる審美歯科として、ご好評いただいております。
セレックシステムの特徴
光学カメラによる型採り
セラミック治療を受けるとなると、従来では歯型を採るために、ピンク色の粘土のようなものを一定時間噛んでいました。これを不快に感じていた方は多いのではないでしょうか。
しかし、セレックでは専用の光学カメラで撮影し、コンピューターで読み取るので、そのような心配がありません。
最短1日で完成
セレックでは、撮影したデータをコンピューターで設計し、その場で詰め物や被せ物を削り出すので、スピーディかつ正確な作業が可能です。
そのため、患者さんにピッタリ合った技工物が最短1日で完成します。(ケースによります。)
一定の品質
歯科技工士が従来の方法で作製する補綴物は、その日の気温・湿度・技工士の体調などの影響を受けます。
セレックは専用のセラミックブロックの塊を削り出すので、一定の品質を保った補綴物を作製することができます。
安定した価格
金属は海外の情勢や、時期によって相場が変動します。そのため、補綴物に金属を使用する場合でも、価格や金属の含有量に変化がある場合があります。
一方、セレックブロックに使用されているセラミックは安定した供給があり、金属を含んでいないため価格が安定しています。
セレックの治療の流れ
step1 古い詰め物・被せ物の除去
それまで使用していた詰め物や被せ物を取り除きます。
step2 形成
むし歯がある場合は、その個所を削ります。
また、セレックの詰め物・被せ物が合うように、歯の形を整えます。
また、セレックの詰め物・被せ物が合うように、歯の形を整えます。
step3 光学印象
専用の光学カメラで歯の型を撮影します。
従来のような型採りは行いません。
従来のような型採りは行いません。
step4 設計
光学印象で得た情報を基に、コンピューター上で補綴物の形を設計します。
step5 削り出し
コンピューターで設計した情報を基に、
専用の削り出し機械がセラミックブロックを
補綴物の形に削り出します。
step6 試適・咬合調整
出来上がった補綴物をお口の中にあて、咬み合わせの状態を調べます。
必要があれば補綴物を削って調整します。
必要があれば補綴物を削って調整します。
step7 接着・研磨
咬み合わせに問題がないようであれば、専用の接着剤で補綴物を固定し、
綺麗に磨きあげます。
step8 完成
完成です。天然歯とも見分けがつかないくらい綺麗になりました。
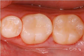
当院でのセレック治療例
ケース①(新宿区在住 20歳 女性)
術 前
奥歯の治療例です。
銀歯の詰め物が多く、見た目もよくありませんでした。
また、銀歯を外すと、二次虫歯が進んでいました。
術 後
セレックで詰め物を作製し、装着しました。
虫歯の治療も完了し、見た目もきれいになりました。
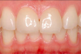
ケース②(西新宿在住 30歳 女性)
術 前
前歯の治療例です。
欠けている部分と、隙間が気になるとのことでご来院されました。
術 後
セレックで作製し、装着しました。
本来の歯同然に治り、とても喜んでおられました。